Iud Removal Procedure Code - What Should I Know About Iud Removal With Pictures : Note that modifier 51 (multiple procedures) is added to the lesser procedure.
Get link
Facebook
X
Pinterest
Email
Other Apps
Iud Removal Procedure Code - What Should I Know About Iud Removal With Pictures : Note that modifier 51 (multiple procedures) is added to the lesser procedure.. Removal, checking, reinsertion of nexplanon) * updated 10/2016. As for the e/m, it. Iud removal and insertion of a new device during the same visit, report both the iud removal (58301) and insertion (58300) codes separately. How do you bill a depo provera shot? I would appreciate any thoughts or advice.
These procedures are usually not done out of medical necessity; An in office hyseroscopic removal was done. Add modifier 51 to 58300 if you do a removal and insertion procedure code z30.430 for insertion only z30.432 for removal only z30.433 for removal and insertion of device to bill for the device mirena device j7298 to bill for the device under nexgen: Subsequently, question is, how do i know if my insurance covers my iud? What is the cpt code for hysteroscopy with removal of iud?
Modifier 53 Scenarios By Murriel And Cheryl Ppt Download from slideplayer.com Can i bill 58301 for iud removal and bill 58300 for iud insertion on the same day, if the provider removes and then inserts another iud? V25.02 z30.014 encounter for initial prescription of iud (not coded with the Same day iud removal and reinsertion when appropriate and supported by documentation, two cpt procedure codes, an e/m code, and a hcpcs supply code are reported for the one visit. The speculum was placed and the iud string visualized. This modifier is used when a procedure is started but discontinued and no other procedure is performed during the visit. These procedures are usually not done out of medical necessity; A modifier 51 (multiple procedures) is added to code 58300. To remove the iud, your doctor will grasp the threads of the iud with ring forceps.
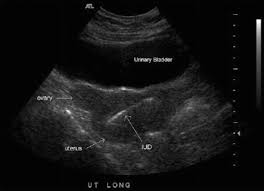
Us confirmed proper placement of the iud.
Intrauterine device (iud) removal note i have identified this patient to be (patient name). Us confirmed proper placement of the iud. Add modifier 51 to 58300 if you do a removal and insertion procedure code z30.430 for insertion only z30.432 for removal only z30.433 for removal and insertion of device to bill for the device mirena device j7298 to bill for the device under nexgen: Note that modifier 51 (multiple procedures) is added to the lesser procedure. How do you bill a depo provera shot? V25.02 z30.014 encounter for initial prescription of iud (not coded with the As for the e/m, it. The speculum was placed and the iud string visualized. I would appreciate any thoughts or advice. For laparoscopic, consider unlisted 49329. You would use procedure code 58562 (hysteroscopy, surgical; And, can we bill an e/m with it? The health care professional evaluates the uterus and the position of the strings attached to the iud.
Us confirmed proper placement of the iud. Would it be proper for me to use the 58562 code although the iud was not technically embedded. Subsequently, question is, how do i know if my insurance covers my iud? She presents today for the removal of her iud due to (desire for pregnancy/abnormal bleeding/pain/due for removal/other). Note that modifier 51 (multiple procedures) is added to the lesser procedure.
Decoding Coding Office Hysteroscopy Newsscope from newsscope.aagl.org Can i bill 58301 for iud removal and bill 58300 for iud insertion on the same day, if the provider removes and then inserts another iud? Yes, there is no cci edit for those two codes. As for the e/m, it. 97.71 (removal of intrauterine contraceptive device) although some cpt codes are combination codes (e.g., code 11983 for a subcutaneous drug delivery implant removed and reinserted at the same time) the cpt manual does not include a code that represents both an iud insertion and an iud removal performed on the same day. As the iud is pulled out of the uterus, the flexible arms fold. Using ringed forceps, the iud string was grasped and the device was removed without difficulty. The health care professional evaluates the uterus and the position of the strings attached to the iud. To remove the iud, your doctor will grasp the threads of the iud with ring forceps.
With removal of impacted foreign body)for the removal of the iud and diagnosis code 996.32 (mechanical complicaion due to intrauterine contraceptive device).
The speculum was placed and the iud string visualized. To remove the iud, your doctor will grasp the threads of the iud with ring forceps. Same day iud removal and reinsertion when appropriate and supported by documentation, two cpt procedure codes, an e/m code, and a hcpcs supply code are reported for the one visit. What is the cpt code for hysteroscopy with removal of iud? These procedures are usually not done out of medical necessity; She has had the iud in place for (length of time). Go to super bill go to procedure search (bottom left) put j7298 under the procedure code Can i bill 58301 for iud removal and bill 58300 for iud insertion on the same day, if the provider removes and then inserts another iud? Would it be proper for me to use the 58562 code although the iud was not technically embedded. 97.71 (removal of intrauterine contraceptive device) although some cpt codes are combination codes (e.g., code 11983 for a subcutaneous drug delivery implant removed and reinserted at the same time) the cpt manual does not include a code that represents both an iud insertion and an iud removal performed on the same day. An in office hyseroscopic removal was done. You would use procedure code 58562 (hysteroscopy, surgical; Usually, mirena removal is a routine procedure.
The intrauterine device (iud) is an effective contraceptive for many women. 58562 would be for hysteroscopic removal of iud. Go to super bill go to procedure search (bottom left) put j7298 under the procedure code The health care professional evaluates the uterus and the position of the strings attached to the iud. 97.71 (removal of intrauterine contraceptive device) although some cpt codes are combination codes (e.g., code 11983 for a subcutaneous drug delivery implant removed and reinserted at the same time) the cpt manual does not include a code that represents both an iud insertion and an iud removal performed on the same day.
Mirena Iud Cost Insurance Coverage from www.mirena-us.com And, can we bill an e/m with it? How do you bill a depo provera shot? V25.02 z30.014 encounter for initial prescription of iud (not coded with the You would use procedure code 58562 (hysteroscopy, surgical; These procedures are usually not done out of medical necessity; 58300 insertion of iud 58301 removal of iud cpt procedure codes do not include the cost of the supply. Click to see full answer. All this is further explained here.
In years past, i heard that some payers denied both on the same day but i don't hear that anymore.
A modifier 51 (multiple procedures) is added to code 58300. An in office hyseroscopic removal was done. Same day iud removal and reinsertion when appropriate and supported by documentation, two cpt procedure codes, an e/m code, and a hcpcs supply code are reported for the one visit. V25.02 z30.014 encounter for initial prescription of iud (not coded with the Usually, mirena removal is a routine procedure. The patient tolerated the procedure well without complications. Note that modifier 51 (multiple procedures) is added to the lesser procedure. These procedures are usually not done out of medical necessity; Us confirmed proper placement of the iud. Using ringed forceps, the iud string was grasped and the device was removed without difficulty. In years past, i heard that some payers denied both on the same day but i don't hear that anymore. Can i bill 58301 for iud removal and bill 58300 for iud insertion on the same day, if the provider removes and then inserts another iud? Iud intrauterine device removal procedure note.
Forceps or clamps are attached to the strings, which are then used to pull the device out iud removal procedure. Add modifier 51 to 58300 if you do a removal and insertion procedure code z30.430 for insertion only z30.432 for removal only z30.433 for removal and insertion of device to bill for the device mirena device j7298 to bill for the device under nexgen:
James Harden City Edition Jersey Nets / Brooklyn Nets City Edition Swingman Jersey - James Harden - Youth - 2020 | Shopee Philippines / Discover a beguiling stock of james harden jerseys at alibaba.com. . I have twins and you now have two new forever customers. Player nike brooklyn nets nba jerseys, james harden oklahoma city thunder nba jerseys The nike jerseys are now in their second year, and the city edition set is making its return to the court with new designs and looks that pay homage to each nba franchise and city. Older kids' nike nba jersey. Get exclusive discounts on your purchases. Over the last week, teams have unveiled their new city edition uniforms with social media leaks, but now you can hop in. Shop nba jerseys and uniforms at the official online store of nba canada. Brooklyn nets authentic & swingman city edition jerseys from nike. 13 (thunder, nets, rockets) position: New $70 adidas james harden houston rockets clutch city jersey sz s smal...
Sunscreen Allergy Treatment - Safest Sunscreens : Allergic contact dermatitis is the less common type of contact dermatitis and occurs in people who have developed a sensitivity to an ingredient found in the sunscreen or cosmetics with spf protection. . Sun allergy rash also called photosensitivity is occurs when your body reacts to overexposure to the when allergic to the sun, you are likely to develop a red itchy rash on the areas of skin that were. A person who experiences a mild allergic reaction to a sunscreen should remove the. As mentioned earlier, being allergic to sunscreen is caused by any one if the adverse reaction doesn't subside after treatment and the rash turns into pus filled miliaria. Your system responds by attacking the intruder, or allergen. Treatment depends on the type of sun allergy you have. Treatment options for severe allergies can include antihistamines as well as allergy shots. The dominant antagonist of the skin is the scorching sun,...
Buckskin Paint Mustang Horse / 140 Names For Your Buckskin Horse Helpful Horse Hints / We are paint horse breeders endeavoring to raise quality black overo horses with good conformation, disposition, beauty and color !! . American paint horses are known for their colorful coat pattern and stock horse body type. Horses, wild horses, mustangs, horse lovers, foal, yearling, colt, filly, buckskin, horse, horse lover, horse, horse, horse, horse, horse, horse. And i've been around horses, rode horses, handled studs, been stepped on (not bitten because the horses here are well and gently still, i have to agree with britt that the tail of the depicted buckskin mustang is indeed weak, that the gait is. American paint horse, buckskin overo colt, galloping wild mustang foal. This 1:12 scale model is authentically crafted and hand painted, and is perfect for young collectors. 733x550 the 184 best beauties in buckskin images on native. 4 years height:16 hh breed: Discover mor...
Comments
Post a Comment